肺上有了纤维灶有没有可能是肺癌
【纤维灶】一般就是结节. 【钙化灶】大多数是良性.
特发性肺纤维化1例丨以影识病
刘懿博士说肺癌一八六一4年的2mm肺结节是纤维灶还是淋巴结
肺有纤维灶吃什么药可治
特发性肺纤维化影像识别一文搞定│以影识病
肺纤维灶是什么意思?会长成肺癌吗?该怎么办更安全?
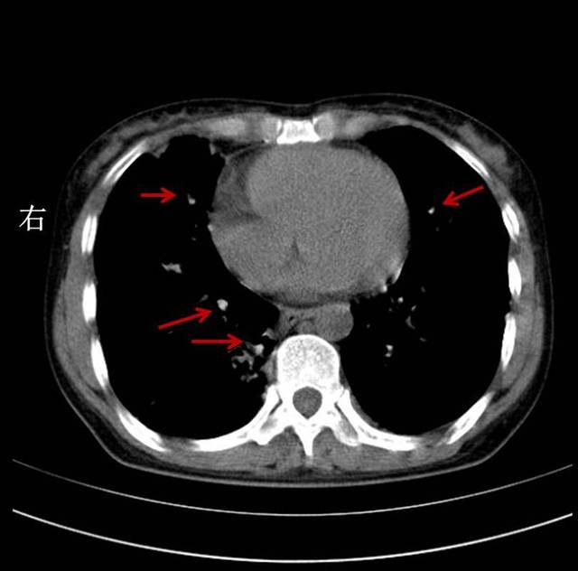
2020年10月ct:右肺上叶少量纤维灶,未显示明确胸膜黏连,增厚征象
肺纤维灶:简单说:肺纤维灶即为肺纤维化.
肺部纤维灶怎么治疗(肺部纤维化怎么有效治疗)
双肺纤维化病灶,说明病史很长.斑片状影,说明是活动性病灶.
"26个英文字母,能变身成怎样的图画?
革命
韩剧《宫》确定2024播出!韩网友心中的假想选角公开
被王一博夸漂亮的女孩长大后的她比小时候还好看
图解打领带模板
水果摆盘(2)
最适合15岁左右的圆脸女生发型,这8种很不错,百变时尚有个性
日移竹影,风递花香.范祥忠大字隶书横幅创作欣赏-教育视频-搜狐视频
原创手机壁纸:粉粉的古驰壁纸
蜜豆红枣粽
男生锡纸烫钢夹烫推荐发型图片
6年前央视名嘴张泉灵瞒着老公奔赴外地只为给一名年轻人147万