肺纤维灶是什么意思?会长成肺癌吗?该怎么办更安全?
报告描述:纤维灶,这是什么,会不会病变?_肺部_体检_组织
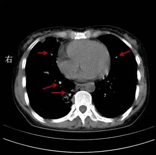
2020年10月ct:右肺上叶少量纤维灶,未显示明确胸膜黏连,增厚征象
双肺可见多个纤维空洞,条索状,斑点状影,病灶有钙化.
刘懿博士说肺癌一八六一4年的2mm肺结节是纤维灶还是淋巴结
肺有纤维灶吃什么药可治
右肺纤维化病灶图片
【纤维灶】一般就是结节. 【钙化灶】大多数是良性.
双肺纤维化病灶,说明病史很长.斑片状影,说明是活动性病灶.
特发性肺纤维化1例丨以影识病
肺纤维灶:简单说:肺纤维灶即为肺纤维化.
恶搞新版如花_整蛊qq搞笑表情
预约
奥利奥|平面|海报|z882878944 - 原创作品 - 站酷 (zcool)
现场血迹斑斑,惨不忍睹.
《我好想你(《小时代》电影主题曲)》,原创歌曲简谱,通俗歌曲,国语
睡不着此情此景我想吟诗一首此情可待成追忆只是当时已惘然
20张漫画告诉你安全生产该咋做
组图:日本第一萝莉奥真奈美回归 日意混血神似迪丽热巴_高清图集_新浪
神勇武工队传奇:子月控制塔台,队长武装监狱犯人,向外突围
可爱表情
新品幼儿园大型建构区木质原木实木超大碳化碳化木塑料积木
心情低落很心烦的说说 - 搜狗图片搜索