黄斑病变
黄斑病变原因 深近视引起的黄斑病变
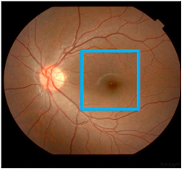
趣味眼病测试第二弹自测黄斑病变一张图搞定
急性特发性黄斑病变一例
关灯后玩手机有人患黄斑病变有人患青光眼医生劝你赶紧戒掉
黄斑不是病,黄斑病变才是病!不可忽视!
线,红外线光波以及营养不良,老年人衰老性黄斑都可能导致眼底黄斑病变
叶黄素是防止黄斑病变致老年失明的视黄金
个位帮小弟看下这是什么病
黄斑明显改善
老年常见黄斑区病变的临床表现及诊治
张根硕.
精美经典 - 笑看人生 - 笑看人生
450_250gif 动态图 动图
【未定事件簿】西装男团,这谁能不迷糊?
美丽的女孩哭和覆盖她的脸
14年进口路虎极光
花边框简笔画
川美设计结构素描素材集锦和优秀设计作品赏析
犹抱琵琶半遮面七七事变背后的裕仁天皇
一边两排鞋孔穿鞋带的方法,跪求,急急急啊!最好有图有讲解谢谢!
剑南春水晶剑46度100ml1瓶浓香型白酒小酒版
谢霆锋和杨幂公布新恋情,这一次他不再隐瞒_金纳莱网