黄斑病变
急性渗出性多形性卵黄样黄斑病变
关灯后玩手机有人患黄斑病变有人患青光眼医生劝你赶紧戒掉
趣味眼病测试第二弹自测黄斑病变一张图搞定
黄斑病变已经趋于年轻化
黄斑病变看字扭曲颜色异常
黄斑不是病,黄斑病变才是病!不可忽视!
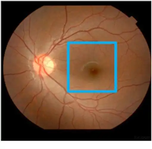
黄斑区病变
单侧急性特发性黄斑病变患眼临床和影像特征
老年常见黄斑区病变的临床表现及诊治
老年性黄斑变性
超级高端专业简约高级设计师 创意个人求职简历模板psd电子版素材
海贼王新四皇被称为最弱四皇别逗了他们其实是最强的
杨鸣教练依旧谨慎.
锁骨发适合不爱洗头发,打理头发的女生!
4,郑佳欣:《小李飞刀》看来王珞丹还是比较适合那种干练,活泼的都市
夕阳下的唯美女生背影
十佳歌手比赛手绘插画风竖版海报
对薄荷上瘾或许你前世就是一只喵
王羲之行书集字春联七言联32幅
中国风97古风大气传统红色印章png免扣.9696古人凿铜刻 - 抖音
威神v第二张迷你专辑后续《take over the moon - sequel》实体专辑
玻尿酸鸭动态表情包上线 网友直呼萌化了