儿童肺炎时胸片怎么看呢
图13 剪影征
典型病例发一个,"哑铃征" ,不用鉴别诊断 - 丁香园论坛
呼吸1胸部正常与基本病变
肺有结节状高密度阴影
2019年2月12日上午体检时胸片显示左肺有大片阴影.
胸片提示病变加重,左肺大部分实变,右肺中上野斑片阴影(图2),为进一步
胸片上明显有阴影为什么报告是未见异常求解答
第42例特发性肺含铁血黄素沉着症iph
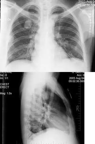
疑难问题,看看这张胸片
淋巴管炎和肿大的肺门或纵膈淋巴结组成的哑铃状阴影
分布平均,密度相似,巨细一致的粟粒状结节(原发性肺结核,哑铃状的原发
动漫头像闺蜜2张精选(110张)_闺蜜姐妹女生头像_头像屋
0095 文殊菩萨 镜心 设色纸本
张彬彬
干货20种秋天色调水彩调色教程必收藏
实拍复古绿色小碎花露背连衣裙女中长款夏新款度假长裙
80年代初交警皮夹克
超好看的兄妹头像,快来和你的哥哥用吧!
求几张 七人魔法使 的图片,壁纸.尽量包含的人多一点.
夏洛特烦恼秋雅,有才有颜,她在众星捧月中逐渐迷失
ins早餐 | 早餐365天不重样 | 早餐摆盘
老铸铁观音像开脸慈祥待有缘人供奉760元不议价不包邮
手绘热腾腾的大米饭插画