胸片示弥漫性对称性网点状间质性阴影,伴左侧自发性气胸.
肺有结节状高密度阴影
2019年2月12日上午体检时胸片显示左肺有大片阴影.
疑难问题,看看这张胸片
淋巴管炎和肿大的肺门或纵膈淋巴结组成的哑铃状阴影
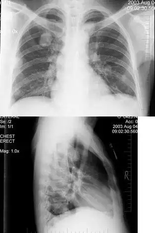
胸片正位下方阴影是什么
典型病例发一个,"哑铃征" ,不用鉴别诊断 - 丁香园论坛
轻轻松松过周末,典型病例发一个,"哑铃征" ,不用鉴别诊断 [病例帖]
儿童肺炎时胸片怎么看呢
胸片提示病变加重,左肺大部分实变,右肺中上野斑片阴影(图2),为进一步
胸片上明显有阴影为什么报告是未见异常求解答
三八
李卫墓地:懂为官之道,清廉受爱戴,受三朝重用!
愿你是自由自在,逍遥快活——《野天鹅》
也许现在我们还年轻
战国后期, 秦军战斗力到底有多强?
一组室内手绘图
负重一万斤长大
玄关.jpg
长城全新高端皮卡顺利量产,6缸引擎 6轮牵引,还看猛禽,坦途?
贺字素材图片
这些插画是人生扎心的刻画 #无力感 #灰色心情 - 抖音
陈伟霆天选海归精英沈皓明
风格男头像抖音,高清好看的抖音最火潮男头像大全_男生头像_头像屋