「新冠肺炎vs.呼吸道感染」差在哪?一张图秒看懂…x光整片惨白不见骨
胸片如何看肺炎,这篇文章帮你立刻入门!
肺炎君:自古深情留不住,唯有口诀得人心!
慧读片(6)丨从病例了解「百变机化性肺炎」的典型与非典型征象
新型冠状病毒肺炎肺部ct表现的5个特点
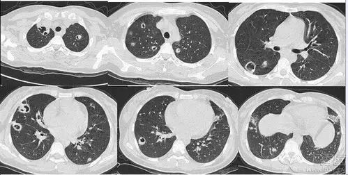
几组肺炎ct读片大畅带你来看图
经典胸片展示之三--支气管扩张
新型冠状病毒肺炎ct片集锦早期和进展期有啥不一样
轻松读懂肺炎实变的影像学征象│以影识病
肺炎治疗误用抗菌药你可能也在这么做
简笔画 手绘 线稿 480570q版简笔画少女动漫人物图片大全 q版手绘动漫
徐浩综艺照
壁纸,高清,宽屏,苹果主题壁纸,苹果,1920x1200尺寸壁纸-回车桌面
春天是一个花开的季节,李子树花开了,在这个还有点
鞠婧祎的古风真的很美
儿童雨鞋雨衣雨伞可随意搭配男童女童防滑雨靴防水雨披小学生套装
f和弦示意
世界著名建筑 中国长城简笔画图片
白描竹子
《和平精英》赵灵儿皮肤
大鱼海棠
小清新简约小气泡毛孔清洁医美海报