新型冠状病毒肺炎肺部ct表现的5个特点
轻松读懂肺炎实变的影像学征象│以影识病
胸片如何看肺炎,这篇文章帮你立刻入门!
中医院放射科带您解读小儿肺炎
金葡菌肺炎——潘军平,肺部影像联盟
肺炎治疗误用抗菌药你可能也在这么做
「新冠肺炎vs.呼吸道感染」差在哪?一张图秒看懂…x光整片惨白不见骨
胸片如何看肺炎这篇文章帮你立刻入门
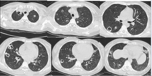
几组肺炎ct读片大畅带你来看图
新型冠状病毒肺炎ct片集锦早期和进展期有啥不一样
西南三省
刘德华解锁6种抽烟动作,动作不同气质不同,最霸气的应该是第3种_电影
战锤40k 审判官2 重制8k 还原震撼画质
生日结婚用品氢气球求婚心形爱心婚庆造型婚房布置装饰
自学程很度有限,上个星期闲来无事的时候画了一只卡通的小老鼠之后
好似童话中的黑天鹅公主,高贵又神秘9292#婚纱照风格推荐 #黑纱
jk制服q版头像
漫画人物头像男生帅气冷漠图片(图1)
董维嘉绅探娇嗲房东圈粉塑料上海话引弹幕
男明星侧脸谁赢了##男明星侧脸图鉴
国潮浪花蓝色国潮风海浪海浪花国潮元素国潮插画png素材
和平精英火箭少女比基尼照片大全真人皮肤效果一览多图