右股骨髁上骨折5月后发生股骨干骨折
我科完成深圳市首例青少年股骨粗隆下骨折髓内钉内固定术
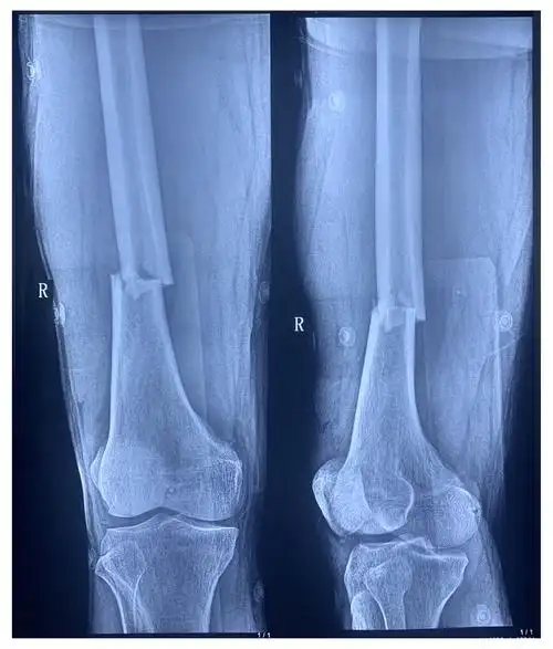
右侧股骨骨干骨折
糖果包扎技术治疗不稳定型股骨粗隆间骨折
钛缆 pfna治疗老年股骨近端粉碎性骨折
49岁股骨远端骨折微创复位锁定钢板内固定手术一例
岳阳市长炼医院外一科一例股骨骨折病例分享
股骨干骨折
砥砺前行--创伤骨科郝海虎团队微创手术治疗老年股骨粗隆间骨折
股骨干合并股骨颈骨折一例
19岁股骨干骨折闭合复位髓内钉内固定手术一例
闭合复位髓内钉治疗成人股骨干骨折
王雷刘恩佑领跑新红剧抗战青年团
韩国少女系超萌卡通少女鬼小妞高清桌面壁纸第一辑
呼图壁县人民政府关于调整高污染燃料禁燃区的通告
【snh48张怀瑾】【4k】210625 张怀瑾 minilive 全场直拍focus mini
摩丝摩丝努力工作赚钱壁纸
男生发型推荐痞帅二八分侧背纹理烫 武汉男士发型设计 武汉男生烫发
金水区多则规划出炉!涉金水老城/杨金片区
快乐早教:童话故事
>>《傲寒》 马頔 完整
六方晶系陨石钻石介绍
每日泰语/超实用泰语自学app #泰国 #武汉工程大学 #泰 - 抖音
好玩的沙子——琼海市教育幼儿园中班组安全教育