悬雍垂过长症的病因
喉乳头状瘤悬雍垂旁息肉图
悬雍垂_作用_来源
p>悬雍垂:人体解剖名称.指口腔内 a>软腭 /a>游离缘向下突出的部分.
咽峡炎,手中口病来势汹汹,这样孩子可能会舒服点!
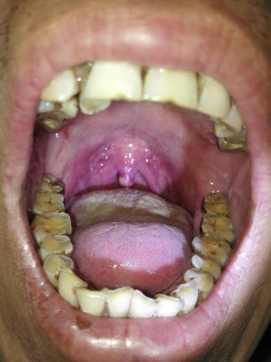
男孩六周岁,镜下所见,悬雍垂水肿,咽部粘膜充血,咽后壁淋巴滤泡增生
img
这位患者(图2)咽充血,尤其是悬雍垂充血肿胀显著,双侧扁桃体均可见
悬雍垂淤血图片
悬雍垂乳头状瘤 自切除
孩子不爱说话|劈叉的悬雍垂.小晗晗出生后,医生 发现她悬雍垂 - 抖音
瓢虫的折纸图解与方法教程_折纸大全_手工制作大全_中国儿童资源网
海贼王横屏壁纸白星公主
正常心电图ppt
原创凭哭戏征服观众22年前播出的tvb封神榜它到底有多出色
大耳朵图图全部人图片头像
2021年加油 昨天已经过去车贴摩托车电动车贴纸个性改装文字装饰
这哈密瓜真好吃很甜
安卓(android)迪斯尼 米奇 老鼠 可爱 卡通高清手机壁纸免费下载,安心
3岁乞讨14岁进圈40岁自杀64岁四度封后她一生不婚在等他
卤鸭货拼盘
凉糕图片
我真的真的真的巨磕晚宁的颜~#手绘 #画画 #一起学画画 - 抖音