相关图片
随机推荐
原创小欢喜磊儿一句话让童文洁很气愤海清却憋笑憋到内伤
锦州大苏打供应优质锦州大苏打 水产养殖专用大苏打 硫代硫酸钠硫代
胡静成功躲过岁月,穿蕾丝连衣裙藏不住少女感,阔太就是不一样
☬⇝【侵权删】majestical cr[l]own 二次元服装教程 动漫服装 男
靳校长为学生赠书并书写赠言,殷殷期望寄予短短文字中.
音阶歌 - 简谱 - 歌谱简谱大全
好看的妈妈头像图片大全
matepad pro 4k壁纸 - 华为 matepad pro资源分享 花粉俱乐部
04 这是陪伴朱小姐过哒第六个生日 世界上最美哒
吃饭姿势真搞笑!
普洱茶饼架子摆件架工艺品瓷盘架展示盘装饰盘相框表实木支架托架180
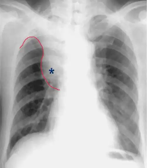
中央型肺癌的横s或者反s征,是指右侧中央型肺癌的正位x光胸片上的典型