第五章 肿瘤 (tumor,neoplasm)
分形蕨( fractal fern)
对称分形图案.集合-树的树叶.绿色
分形作品
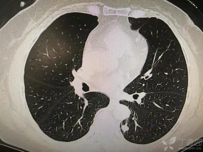
据影识病:双下肺分布的分叶状结节,肿瘤?结核?炎症? [病例帖]
什么是分叶状肿瘤
under cc by-sa科学家之所以想要用分形来理解人类意识的复杂性,是
无忧文档 所有分类 自然科学 生物学 植物实验10 植物营养器官的形态
连线图集令人称奇的自然分形图案
[独家]大自然中11大最壮观迷人的分形
左下肺背段见分叶状结节影,会是什么?
分形作品【2017.9——2018.5】精选集 01
特邀专家:刘芳,主任医师,副教授,硕士研究生导师,山东中医药大学第二
写人写事作文300字4篇
不怕没衣服穿,一件牛仔衣拯救你的衣橱穿搭!
"网球王子"柏栩栩原是排球达人 曾任清华队长
安志杰:我的规矩就是规矩!_哔哩哔哩 (゜-゜)つロ 干杯~-bilibili
张继科
长达17h的商务舱之旅只能斜躺算个啥疫情期间没停飞就不错了
才定档,许凯新剧又被传,合作"85后"顶流小花|许凯|宋茜|你微笑时很美
"史努比"喜欢的宝们记得点个噢#手机壁纸
伊利 新logo图片
卫龙 52g大辣棒贼辣/贼大/贼棒 调味面制品 零食小吃辣条混合批发
2021年3月昌河k22后单轮双排