加载中...
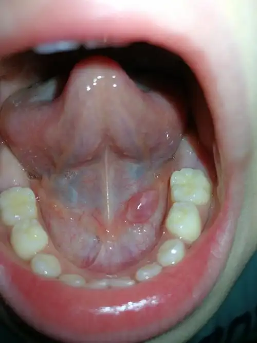
儿子舌头底下有个小肉芽,早就有,但是最近几天长大了,长的挺快

儿子舌头底下有个小肉芽,早就有,但是最近几天长大了,长的挺快

图片尺寸 1080x1440
上传时间 2026-03-13 15:12:09

图片链接

缩略图
原图
外链

相关图片

随机推荐