早期确定妊娠的 a href="#" data-lemmaid="687882">b超 /a>诊断依据
图片链接
缩略图
原图
外链
相关图片
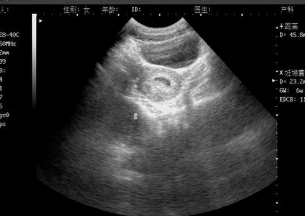
正常情况下,孕30-40天胚胎孕囊形成;孕40-50天,胎芽形成;孕50-60天
早孕b超确诊
怀孕50天,超声看孕囊能看出男女?医生这样说|胎儿|b超|羊水_网易亲子
女子称b超未查出怀孕被开禁服药导致打胎,金华妇幼保健院:正协商|金华
实用收藏孕囊大小与怀孕时间对照表
一般情况下,在怀孕40天左右,通过b超检查可看到孕囊大小,孕囊位置
第二次b超孕囊比之前更大,只是已停止发育)
孕6周b超产检宝宝还不到1厘米,据说这种长条形孕囊很可能是男生
b超检查时,孕妈通过这3组数据,或许能提前知晓胎儿属性的小秘密_宝宝
妇科医生表示:孕期做b超并不是越多越好!4个关键时间做了即可!
女儿官宣怀孕,b超疑曝宝宝性别,相恋10年引争议_王逸宸_网友_视频
实用收藏孕囊大小与怀孕时间对照表