看不长个或者早发育为什么要查垂体核磁共振?
神经外科也有"送子观音"_脑垂体
治疗脑垂体瘤的方法-有来医生
专题颅脑中的芯片脑垂体二
垂体正常及常见疾病影像表现
人体九大系统之一内分泌系统脑垂体
人的脑垂体在哪里
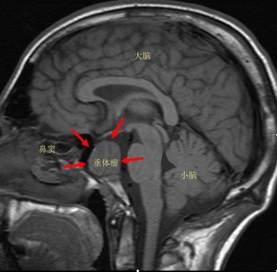
垂体平面.jpg
脑垂体
神经系统和内分泌系统的中心-下丘脑脑垂体是人体最重要的内分泌腺,是
浙教版,科学,八年级上,神奇的激素 脑垂体 甲状腺 胰脏 卵巢 肾上腺
垂体是负责什麼?
2022婴幼儿标准身高 体重对照表来咯6015家有0~3岁宝宝的家长请
维生素高的水果排名
iphonexs手机彩色壁纸
道教矢量图
io/824310 苹果树油画,布面油画,60×40cm,2018售价:¥698.
图片:电视剧《保姆》精美剧照-9
舞图片
图文并茂的现代报纸排版设计欣赏 来自给力创意广告 - 微博
手把手教你鉴别百灵雏鸟公母
女女闺蜜头像情头
鞠婧祎白色婚纱照美若天仙!雪肤玉貌太靓丽动人
当blackpink 唱 - drama 原唱:aespa (ai cover )