相关图片
【官方旗舰】草本平灵液霜疣瘊平hpv 疣去老茧除 疣扁呯疣 瘊净鸡膏眼
比如明显的生殖器疣以及不明显的宫颈,阴道,外阴,尿道,阴茎,肛门疣等
别慌,还可能是这两种情况|毛囊炎|脓疱|外阴_网易订阅
主要发生于生殖器(子宫颈,外阴,阴道),肛门和肛周等部位的
hpv病毒可能导致皮肤癌,黏膜型的高危型hpv病毒可能导致宫颈癌,外阴癌
瘊子,扁平疣,尖锐湿疣等讨人厌的皮肤病,哪些人易被传染?
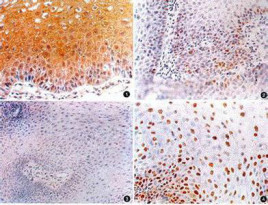
真假尖锐湿疣怎么区分_症状_丘疹_患者
后来王女士去医院检查,医生说,出现这个症状看起来像是疣体,很有可能
所有的疣都是由hpv引起的,但并不是所有的hpv都会引起疣.
00后女生查出hpv疣体长满身痛不欲生为何会染上医生却这样说
表面黏膜层也会发生异常变化,比如出现类似于这种小疙瘩的红色疣体
尖锐湿疣不只是长菜花地球知识局
随机推荐
女性时尚主题杂志排版设计模板requise–magazinetemplate
ninepercent - 堆糖,美图壁纸兴趣社区
插翅难逃:张世豪魂都被妹子勾走了,烫个衣服都想着妹子都能乐笑
建筑图纸图片_建筑图纸图片大全_全景图片
在出演《还珠格格》之后,演员刘芳毓参演过的影视剧作品也不算少数
萌宠喵星人卑微看着你呆萌可爱gif动图_动态图_表情包下载_soogif
芝宝zippo正版打火机貔貅贴章防风煤油送人礼物zippo 原价399元 现价
小时候不明白老人晒太阳一坐就是半天,长大之后才明白:目之所及,皆有
粉嫩早樱唯美高清桌面壁纸
小型滚筒搅拌机 电动正反转搅拌器 建筑材料220v手推式混合机
等我这就到台风天台风表情
铁血丹心(83版电视剧《射雕英雄传》主题曲)_简谱_搜谱网