戒烟多久肺才干净戒烟一周后肺部的纤毛就开始
正常肺x片
肺间质改变(有多年粉尘接触史)
肺不好的人,远离二字,常食三果,做好四件事,肺会慢慢变好!_手机搜狐网
正常肺ct影像图解(12个病人的肺ct图像详细解读)(12)
有肺癌风险的肺结节特征是什么?
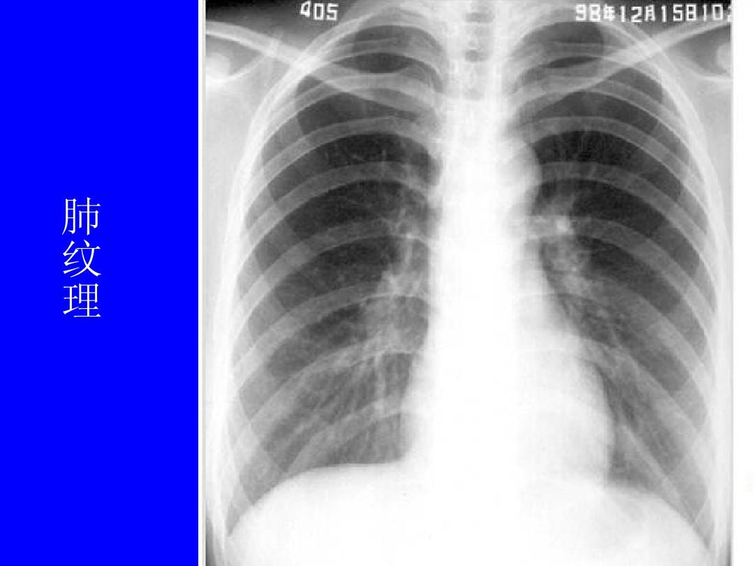
正常肺纹理(图片)
戒烟后黑了的肺还能白回来吗患癌几率能下降医生告诉你真相
肺的分叶分段ppt
正常人的胸部
"菜瓜布肺"比癌症还可怕?出现咳,喘,累3大症状要当心
求助正常肺部x光片图片供教学用
喂猪的藤三七原来这么多妙用!
全国征兵网报名入口
靳东《外科风云》剧照图片桌面壁纸
老人头像高清图片适合50岁60岁老人的微信头像图
老家具古家具榆木条凳
假发女短发夏减龄自然全头套波波头2021新款时尚真发全真人发齐肩
求p40手机的默认壁纸 - 华为mate30系列其他 花粉俱乐部
男孩身高参考表(单位:cm)
服装设计首页
steam游戏推荐:群星stellaris 类型:4x游戏,太空歌剧 适合人群:游戏
明朝皇帝世系图
王思雨,1995年10月16日出生于山东省烟台市海阳