【健康科普】拍个胸片,为什么要脱内衣?
影像解剖入门正常胸片怎么看
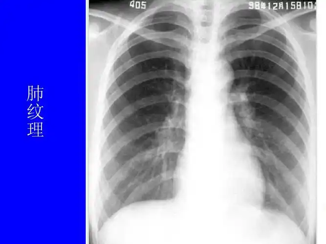
肺野的划分在正常时,下肺野纹理比上肺野多而粗,而右下肺野肺纹理比左
胸片可见: 1. 右心缘:上段为上腔静脉,下段为右心房右缘; 2.
肺部健康图片
x线胸片阅读基础ppt
6步法从胸片进行胸部评估
肺部疾病影像学阅片 一,正常胸片 正常胸片(正位片)
影像-正常胸片
肺部异常的胸片 左肺切除术后
天天师兄的个人展示页
muji无印良品出卫生巾了!朴实无华的设计包装,却被网友夸上天!
陈意涵清秀俏皮居家写真桌面壁纸壁纸
唐笑王磊(唐潇王东小说傲世潜龙)
背景| 微信朋友圈个性封面背景
张卫健前女友tvb花旦江欣燕放下12年婚姻伤痛,新剧饰演冻龄妈妈_生活
肛周息肉状突起图片8
2021年男生一定要尝试的好打理的短发西安男生设计发型找肉肉老师西安
与老婆结婚三年恩爱如初,突然手机屏幕一亮,我的婚姻走到尽头!
5分钟日语教学之数字篇
有种差距叫荧幕初吻郑爽给了自己男友鞠婧祎却给了外国人
北京望京是几环路 北京包含有哪些区,现有几环路了?
早立秋冷飕飕,晚立秋热死牛,2023年立秋是早是晚?答案已出