加载中...
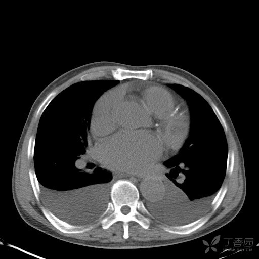
卧位胸片中胸腔积液的探讨 [精华]

卧位胸片中胸腔积液的探讨 [精华]

图片尺寸 512x512
上传时间 2026-03-23 19:44:34

图片链接

缩略图
原图
外链

相关图片

随机推荐