男,两岁,手足侧,臀部,小腿,舌尖出现针尖小水痘,无不适症状!
小孩水痘症状图片62
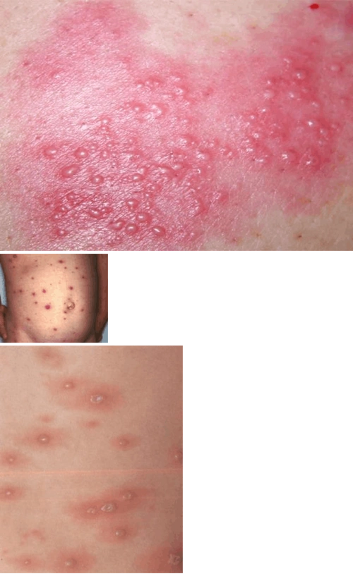
儿童水痘:预防和缓解症状 水痘是一种常见的儿童传染病,通常由水痘
典型病例水痘
水痘早期图片大全出现水痘不可怕10天左右可
快点好起来吧.#水痘 #成年人出水痘的图片 #水痘进入高发 - 抖音
水痘
脸上的水痘照片
爸爸妈妈知识:水痘的症状,治疗,护理
水痘治疗图片
成人水痘?
儿童出现水痘初期症状图片分享附正确护理方式
90后女星假小子式短发,热巴精致,杨紫撩人,郑爽帅成小鲜肉!
金亚荣
潘长江的堕落与代价:从春晚常客到人人喊打
道教知识-学习与道士沟通的方式,进道观敬香礼拜的礼仪
那年花开月正圆陈晓京剧旦装高清壁纸
57年的张瑜越老越优雅,穿灰色纱裙配短发亮相,精致高级又显气质
简谱少年
奥特曼玩具
城市商业区办公大楼入口铝合金玻璃门
罩杯abcd大小 怎么区分abc罩杯
妈妈是超人
钩针钩花桌巾桌布桌垫