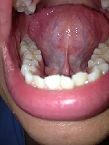
47岁女性口腔下颌右下34牙齿下面有肿物触硬感觉患者说像颗牙一样
正常解剖:下颚对面部的轮廓和上下齿的排列有重要的影响,牙齿必须排列
但在上颚左侧最末端的大牙旁边的口腔黏膜上的溃疡一直没好,在上下颚
口腔内下唇内壁下颚舌根起泡怀疑是口腔尖
下颌腺在哪 快快快
黏膜的不足,为了达到良好的软硬组织修复效果,促进患者的口腔健康维护
口腔美学设计为全口重建咬合健康大讲堂第50期
我们需要 唾液来清洁口腔
成人口腔图表图包括上下颚与恒牙医学教育和卫生保健牙科概念照片
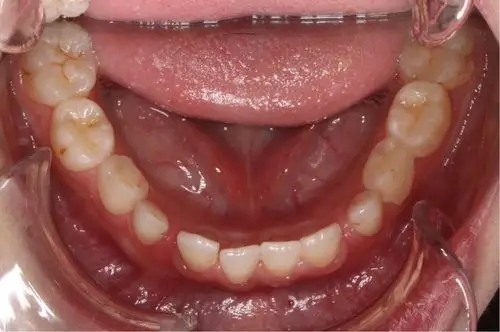
下颚观
认识一下颌骨骨肉瘤._口腔_早起_医疗健康_医疗健康其他
请问这个电视是什么牌子的?
关于牙齿的基本知识 关于牙齿基本知识(一) 从外形观察: 分为:牙冠
"张"有2个读音zhāng和zhàng一张的相关知识 部首弓部笔画7笔结构
我自闭了 - 知乎
这是我见过最美的孕妇大肚子都这么吸睛恕我直言心动了
绘制卧室平面图手抄报手抄报简单又漂亮
风吹起 少年的白衬衫 #马嘉祺这是我的岛
锁屏壁纸 文字控最爱 微信朋友圈背景图
李宇春
骨髓炎
qq默认头像官方经典刚申请的最原始qq最初始头像图片
可爱小羊头像