病例回顾|牙龈癌龈颌颈联合根治 前臂游离皮瓣移植 腹部游离皮片移植
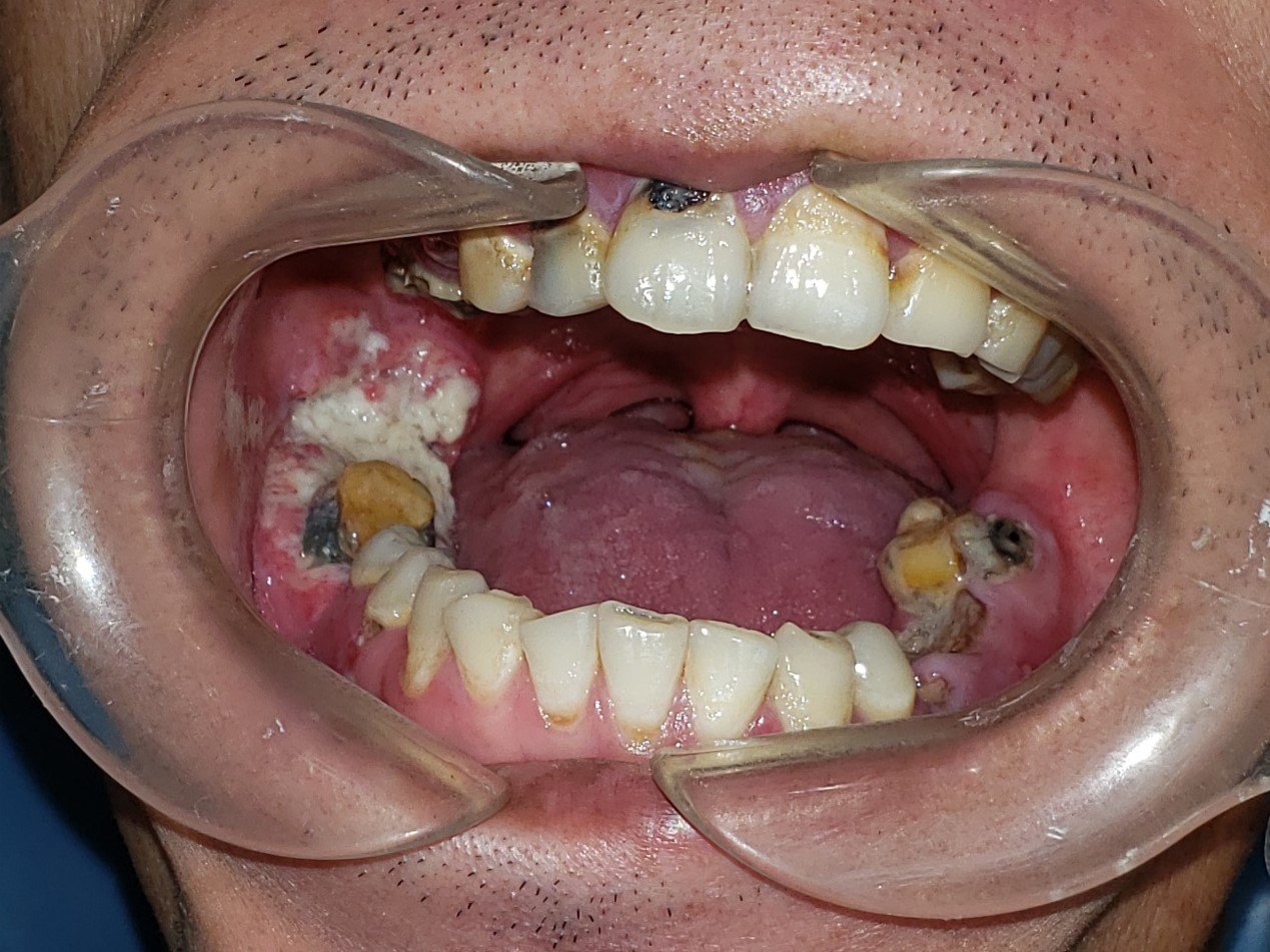
牙龈癌初期照片
牙龈癌(图)
牙龈癌手术前后(图)
牙龈癌
牙龈癌_牙龈癌 - 好大夫在线
牙龈癌手术前后图
牙龈癌早期症状图片(50)
牙龈癌早期症状图片(2)
如何治疗?_牙龈癌_介绍_症状表现_治疗方式 - 好大夫在线
牙龈癌早期症状图片(55)
海贼王头像|黑白萨博
鸭简笔画 鸟简笔画简单
沈殿霞年轻时的美照你见过么?婚姻不幸嫁错人,心疼她的经历
ninepercent
古装情侣头像一男一女图片
社会女生霸气头像超拽图片
苹果11锁屏/壁纸/聊天背景图片
刘思博生活照
开怀大笑
你们最喜欢的试驾车系列_保时捷panamera社区_易车社区
手动挡开车省油技巧 手动挡开车省油16个技巧插图1
无根君子兰,栽种有"禁忌",做好这几点,嗖嗖窜满大白根