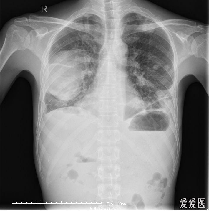
肺脓肿
肺脓肿(陶宗贵济南市人民医院影像)
肺脓肿ppt
左侧脓胸病例分享
肺脓肿与普通肺炎相鉴别
【分享】胸部影像学 [ 三] 肺脓肿
【影像读片】肺脓肿合并脓胸?
【影像读片】是肺脓肿?-有病理 [病例帖]
慢性肺脓肿一例——陶宗贵,莱芜市医院
清太监蜡像
突发!价格暴跌!商家:还要降!_网易订阅
好想戳一下张艺兴酒窝
庭院景观中的"台阶"设计美学,又实用而且还是景观
道家掐诀结印的秘密建议收藏
向上的生活积极乐观心态和谐健康
木木枭
他相声功底深厚被人称为德云社总教习,郭德纲说他不是娱乐明星
天才拉斐尔:文艺复兴的艺术巨匠_作品_佛罗伦萨_圣母
求问哪位有16款艾瑞泽5的方向盘拆卸详细过程
欧洲及地中海文明博物馆简笔画
美女,灰色魅力!优雅女士的户外时尚穿搭指南|妆容|裙摆|灵动|身材比例