肺结核仅仅是某中学事件吗?真相也许会吓着你.
肺结核皮试肺结核应该检查哪几项
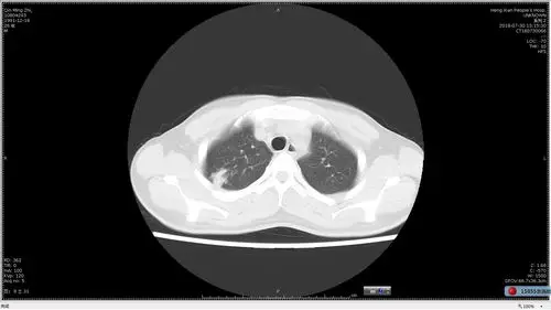
性肺结核-/上中下 涂(-)进展期,初治 写美篇 比较典型的肺结核病灶
南京江北医院成功治愈难治型肺结核患者
他比较紧张,选择手术切除,病例就是肺结核: 当然了,某些不典型病灶
陈旧性肺结核症状陈旧性肺结核症状及表现2022已更新今日动态
一例重症肺结核的资料
伴有粘液栓的肺结核
多发小结节状卫星灶的肺结核
空洞型肺结核ct图
典型急性粟粒性肺结核
微胖界短发扛把子 又可爱又重情的女人 #陈法蓉 #港星女神 #巨人
钓鱼气压参照表.钓鱼气压很关键,气压低空气稀薄,水中溶氧变少 - 抖音
唐晓天_时光_演技
壁纸动漫女孩
振兴中华武汉辛亥革命武昌起义纪念馆特辑
11张花朵夏天和蝴蝶打脸胖的向日葵卡通涂色图片 | 红豆饭小学生简笔
2021正面帅哥头像,来治愈你受伤的心-男生头像
怒火重案票房破10亿甄子丹谢霆锋警棍蝴蝶刀对决超燃
七大洲轮廓图简笔画七大洲轮廓图简笔画用图形画出来
网红冰透雾霾蓝色指甲油胶2021年新款冰肌蓝果冻流行色美甲店专用
如来佛祖
不露脸真人女生头像前程似锦的真正意思是从此步步清风再无你优质女头