从小就知道自己牙齿不齐,非常严重,不能开口大笑,自拍也不能漏出全牙.
牙齿拥挤错位排列不齐
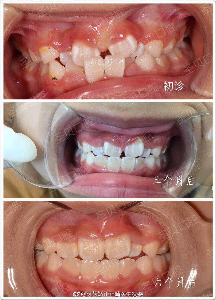
女孩牙列不齐,深覆合,上下牙齿中线均有偏斜,侧貌微突.进行近 - 抖音
牙列拥挤矫正多少钱 牙列拥挤如何矫正 牙齿拥挤矫正 牙齿拥挤不齐
术前诊断患者术前牙齿咬合度不高,上下牙齿不齐,有几_圈子-新氧美容
下排牙齿不齐
牙齿凸长得歪歪扭扭的也不整齐,特别是侧面看起来嘴也_圈子-新氧美容
孩子牙齿不齐的3大原因 991.
如何让孩子"笑"赢起跑线,听一院专家怎么说?_牙齿
牙齿不齐怎么矫正才好
顺德德伦口腔医院 口腔正畸中心 牙齿不齐 牙不好看,心理容易
换牙期的牙齿不齐矫正1
程琳一把二胡征服纽约林肯中心
60岁著名绿叶陈安莹时隔8年重返tvb,曾出演多个经典角色
iphone 壁纸 迪士尼 唐老鸭
排版没灵感快看看这些优秀版式设计案例吧
事实证明王传君没说错,和胡歌分手9年,江疏影的体面终究是垮了
光膀子自拍大叔,你的名字是?_表情_院办_男人
有种"缘分"叫撞脸,肖战,迪丽热巴还ok,看到最后:周冬雨小时候?
关于开心的好句子
财富 > 正文此前,贵州茅台已发布业绩预告,预计2020年实现营业总收入
帅哥自然阳光头像 高清好看的小帅哥很帅有气质阳光头像图片_男生头像
宋林静:出身工薪家庭,99年嫁给穷小子于和伟,30年不离不弃!|王丽坤|上
刘惜君乘风2023