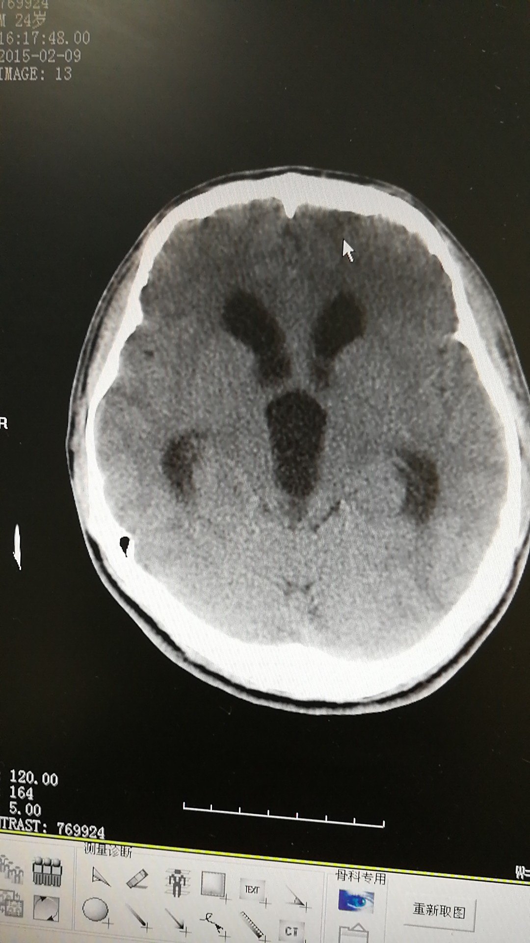
脑积水ct显示:侧脑室,三脑室扩大有症状的脑积水应该及时手术治疗.
该脑积水病例手术指征明确明确吗
案例59 脑积水
李春志 男 64 脑积水 3-2脑室腹腔分流
脑积水ct影像
贺晓生教授婴儿脑积水治疗三年后实例展示
查头ct:后颅窝蛛网膜囊肿,重度脑积水(交通性),双侧小脑蚓部未见,考虑
交通性脑积水(正常颅压性脑积水)vp分流治疗一例
罕见脑积水病例
2017年10月19日,在山西省某三甲医院复查头颅ct提示:"脑积水较前增加"
脑积水脑室腹腔分流术后感染,间断发热,头晕近2月,在李小勇脑脊液科治
脑积水一例
奇山异石三清山
裙2024夏季新款小仙女唐装襦裙古装国潮 酒红色单汉服(配头饰 眉心贴)
大岩蛇简笔画步骤
新闻漫画作品
早安图片鲜花(鲜花图片大全)
红色佛系头像 禅佛佛系女生头像图片_微信头像图片大全
动漫情头一对两张超甜
和平精英主播少东突破千万粉丝网友又见证一名大主播诞生
扫最后一页底端的二维码即可下载哦~ 微信表情搜索
生活照片头像女高清真实普通的生活女头像图片
万大爷头像
镜头摄下历史进程,从一组照片看市中心人民医院30年大变迁!