> 新闻中心 无论什么动物,其肠道的基本组成类似,都包括小肠(十二
考点点评:与小肠的消化和吸收功能相适应,小肠的内表面积最大.
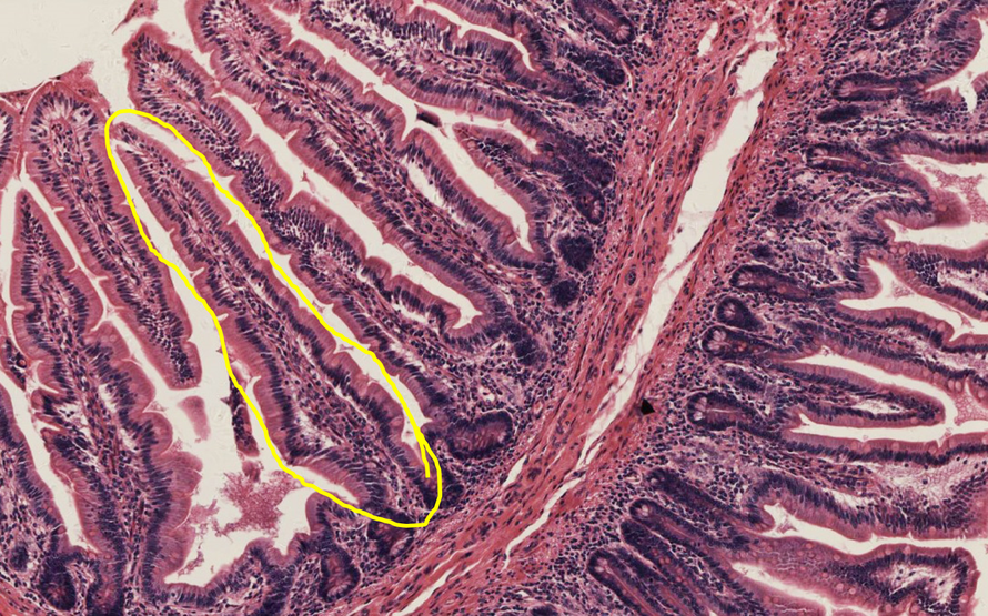
【内脏与疼痛】系膜小肠的组织结构_黏膜_空肠_淋巴管
小肠
小肠精品课件.ppt 12页
这时候,新型水凝胶就派上用场了,科学家称它可以用于复制小肠的褶皱
展开全部 (1)小肠皱襞和小肠绒毛可以增加小肠内表面的表面积,炊
下列各项中和小肠的结构与功能相适应特点叙述中,不正确的是
小肠皱襞
人体肠黏膜解剖示意图-人体解剖图
健康"肠识"知多少?万病源自肠道,不要忽视第二大脑
(1)根据图示可看出,小肠内表面有环形皱襞和小肠绒毛,增大了小肠吸收
光遇简谱第七十七期 #光遇琴谱 #光遇 #光遇日常 #哪里都 - 抖音
老照片民国的青年们到底可以有多帅
小智的力量有多变态?搀扶超梦,单臂托举重型神奇宝贝!
关键词:清明节开心的小女孩 清明节人物插画 开心的小女孩 绿色的柳树
但是也有10厘米啊.看起来差距很大的,尤其是在身高这一方面.
动漫美女头像脸红害羞张嘴流口水吐舌头图片(看了都得有一个想法)_acg
萌娃表情包
野生枸骨
3d立体图三维立体画卡片改善视力成人早教儿童立体视觉训练75图
iphone12pro max全屏壁纸
秋天来了,变黄了树叶的大树 tree 099
山水画画家赵子文