为什么年轻人也会得带状疱疹会传染吗
亲密接触会传染带状疱疹吗?
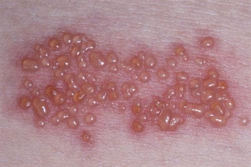
带状疱疹
什么是"带状疱疹"?
疱疹作为一种传染性极强的皮肤病,可以发生在人体的任何部位,患了之后
医微客 - 带状疱疹会传染吗?得过带状疱疹还可以打疫苗吗?
带状疱疹会传染吗?
带状疱疹# ,又称为带状疱疹病毒感染后引起的一种疾病,主要特征是
带状疱疹会传染吗?_澎湃号·政务_澎湃新闻-the paper
带状疱疹 后还能复发吗
带卡(转自微博)
原创哪吒传奇中被遗忘的美女角色女娲高冷不可接近而她祸国殃民
新中式创意摆件家居饰品轻奢高档客厅酒柜玄关书柜办公室装饰摆设
欧式小碟子菜碟盘子吐骨头碟陶瓷小吃碟家用创意北欧盘子味碟家用
西山上品湾moma
给朋友的早上好暖心祝福语早安问候语图片表情
山鸡猛不猛我不知道但万梓良老大气场是真的足啊
韩式风的波波头短发,搭配中分的刘海,就足够修颜了,永不过时时尚感
ral自喷漆劳尔色ral6011灰绿色7035定做色丙烯酸面漆机械设备油漆
常德哪里可以学油炸小吃,整套技术
真不错又收集到了这么多梅花十三的稀有壁纸
野蛮生长,青年艺术家李亚伟油画作品