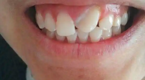
中线不齐案例
图片链接
缩略图
原图
外链
相关图片
就一颗牙齿歪了能单个矫正吗
咬合不齐导致脸歪正畸之后能矫正么-牙医咨询-牙套之家|牙齿矫正 中国
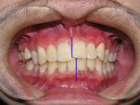
牙齿中线歪了2mm太丑了?牙中线不齐导致脸歪的矫正方法和费用安排上!
没什么不好偏偏牙齿不好.性格开朗不喝酒不赌博
但是,新生牙齿在生长的过程中,在牙龈内的位置并不牢固,根基尚浅还没
25岁女,牙齿拥挤,牙列不齐,中缝歪了4-5mm左右,门牙歪斜,前牙开合.
我这牙齿歪的严重吗.
牙齿歪了怎么矫正
请问各位中间的门牙歪了 去看牙医需要多少钱?
今年二十五岁,但是牙齿歪到不行,并且有恶化趋势,有图,请专业牙齿医生
牙齿中线偏斜,求矫正. - 好大夫在线
22岁,刚刚摘了牙套,觉得牙齿中线偏移很多,上下牙中线都偏很多,照镜子