看看孩子的门牙是否正常?
门牙过大怎么办
门牙突出要怎么矫正
请专业人士帮我看看大门牙两边牙齿是乳牙还是换过的新牙啊?
这个门牙缝隙算大吗
宝妈看这里孩子门牙缝隙大的原因和补救办法都在这里了
请各位老师确诊一下门牙上的白斑
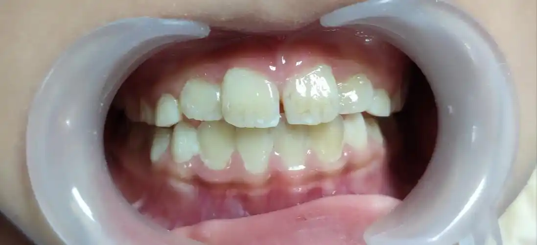
大门牙
门牙太大是一种什么体验?
(照片)牙齿前突,想纠正,门牙大,牙缝小,请问怎么办?
门牙牙缝大矫正多少钱门牙缝隙越来越大
孩子门牙牙缝大?会不会是多生牙_多生牙_介绍_症状表现 - 好大夫在线
弦子暖唱怪你过分美丽ost高以翔真的太美好了
良品铺子素纤丝魔芋150g香辣魔芋爽零食小吃麻辣食品素食满减券
吊灯轻奢客厅灯具简约后现代大气餐厅2021年新款客厅吊灯
可爱手势原神胡桃高清手机壁纸-动漫壁纸 - 壁纸之家
6月13日,香港艺人佘诗曼在个人社交平台点赞了一名摄影师的照片,没
天涯海角
p>《黑糖玛奇朵》是一部2007年由 a href="#">channel [v] /a> a
无力感
m57电子脉冲点火器 阔刀地雷起爆器打火机
中二病也要谈恋爱
火山结构原因三:太平洋的地壳运动更加活跃,太平洋海底构造复杂,全球
正在热映s4侠降魔记尼古拉斯赵四东方不败文松让您贱笑了