青少年胫腓骨远端骨折的手术治疗 - 好大夫在线
左脚踝两侧骨折恢复记录
右外踝腓骨远端骨折康复记录
脚踝左腓骨远端骨折月记
右脚踝扭伤,腓骨骨折,关节移位.请看x光片,谢谢.
丁香园论坛>骨科>帖子详情>看着腓骨长度没问题,旋转没问题,踝穴也
左脚踝撕脱性骨折
一例腓骨下极撕脱骨折
左踝关节肿胀 辅助检查:x线片提示:左踝关节骨折,左侧腓骨骨折 临床
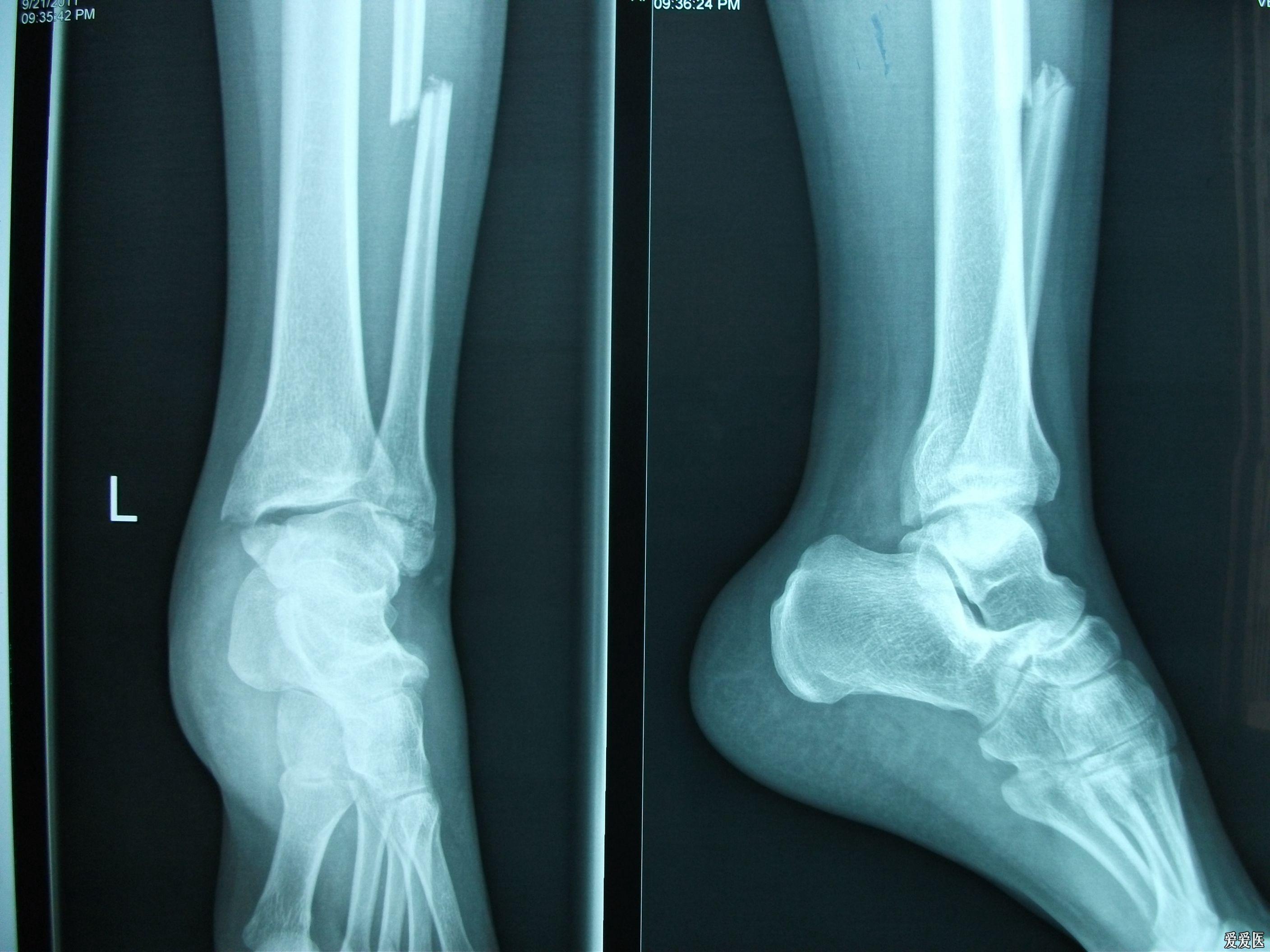
医生您好,今年九月中旬摔倒,把右脚踝的腓骨末端给弄骨裂了,骨_骨折
患者19年后,拍片显示:右胫腓骨远端骨折端己已经消失,髓腔
林青霞写真图片-自制1440x1920壁纸.高清大图-明星写真馆n63.com
离婚后母亲从不探望孩子是一种什么心态
崔佛麦可富兰克林侠盗猎车手gta5游戏周边亚克力立牌钥匙扣小挂件
琴谱starsky星空抖音twostepsfromhell含简谱
98块的五星级酒店下午茶,我们替你试吃过了!
熊熊壁纸分享
鑫六福木门产品鉴赏新中式木门装修效果图
空气烫发型图片,时尚女生短发发型(15款充满空气感的日式烫发发型)
如何看清一个人的真面目
芭蕉树及其写意画法
猫咖馆的装修注意事项
国标安全标志_国标安全标志报价_批发国标安全标志产品-选上海畅为