诊断:○ 靴型心○ 梨形心○ 普大型心脏○ 正常心脏○ 以上均不是病史
临床执业医师实践技能考试心脏增大诊断公式
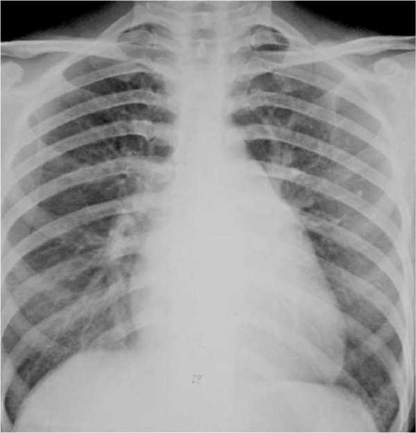
看图(扩张型心肌病,全心衰-心肌无力了)要么是心脏本身增大(心包积液
梨形心怎么回事 梨形心也叫做靴形心,是指心脏疾病而导致心脏形状
用木制的桌子上的心成熟梨子特写
三个梨图片
梨型心
执业医师第三站真题!(上篇)
【求助】普大型心,梨形心,靴形心的片子究竟怎么看啊
绿色黄色梨与心符号
动漫gif男孩gif说话gif抬头gif
粽子,妇女在木桌上吃粽子,端午节食物端午观,特写,临摹空间,俯视,平放
石狮子图片
蔡徐坤分享侧颜随拍
北欧简约系列《相遇如初》以暖色系为整体基调简约抽象色块构成 - 抖
从精神小伙到时尚达人!这些年c罗发型变迁,哪一款最适合总裁?
女生头像|ins高级质感 不露脸背影头像 - 知乎
兄弟头像双人动漫帅气
铜绿丽金龟的家园
超养胃粥94胃炎胃糜烂 养胃苹果红枣小米粥加苹果红枣熬小米粥,常
余生请做一个花心的女人#花时间在身材上,花心思在容貌上,花 - 抖音
"和平使命-2014"联合军演精彩回放