相关图片
腺样体肥大的孩子完全可以保守治疗_小儿腺样体肥大_小儿腺样体肥大
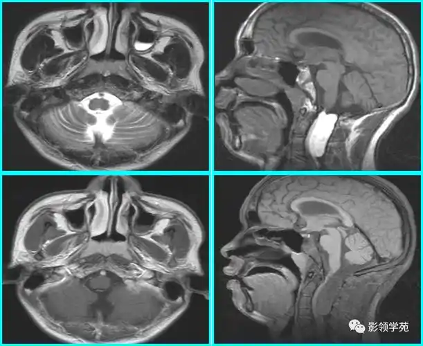
儿童腺样体肥大影像表现及诊断标准
腺样体肥大最好保守治疗为什么这么说呢
儿童腺样体肥大 做的相关检查 鼻咽部侧位x片怎么看
我三岁儿子,腺样体肥大,拍了ct,请有经验的医生和未来的好大夫,帮我
请大家帮忙分析一下腺样体肥大的影像表现,有没有正常的图片 [病例帖]
腺样体增大的x线测量与诊断
腺样体肥大的孩子完全可以保守治疗_小儿腺样体肥大_小儿腺样体肥大
通过x线测量腺样体肥大的4种方法
儿童腺样体肥大影像表现及诊断标准
科学检查决定腺样体肥大(儿童睡眠呼吸暂停综合征)是否手术 - 好大夫
x线高清图谱儿童腺样体肥大影像表现及诊断标准
随机推荐
咸恩静-堆糖,美好生活研究所
谢娜
关都地区神奇宝贝人气排行榜前三,皮卡丘落榜,老喷不再回归!
闫妮张嘉译,把《少年派》变成了虎妈和猫爸的养成史_王胜男_林妙妙
you will know that i am gone 那就是我已独自黯然离开 you can
美女纹身线描图集小众又仙气的古风女孩名字本是天上仙远赴人间惊鸿宴
钟汉良官宣的身高是183cm,王一博180cm,张艺兴178cm,王嘉尔175cm.
儿童男女非洲肯尼亚尼日利亚土著仪式服装坎加特色传统民族服饰
关于洞庭湖沿线岳阳段垂钓区域的问题,官方回复来了
在让台军损失包括"参谋总长"在内的3名"将军"后
12岁的拉丁舞女孩2
错换人生28年,郭威早就知道内情?疑点重重要如何解释